Description
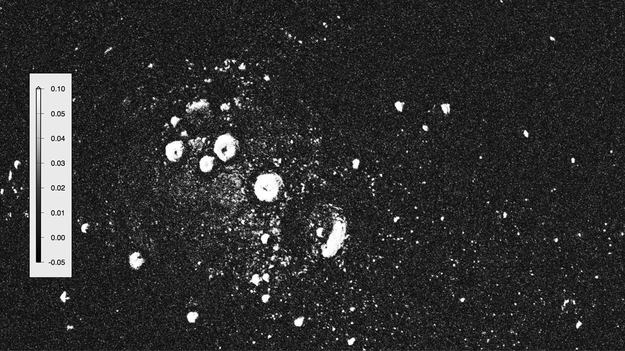
A portion of the Arecibo radar image of Mercury's north polar region. Areas for which the radar cross-section exceeds 0.05 per unit area, believed to contain deposits with near-surface water ice, show as bright in this image.
The MESSENGER spacecraft is the first ever to orbit the planet Mercury, and the spacecraft's seven scientific instruments and radio science investigation are unraveling the history and evolution of the Solar System's innermost planet. Visit the Why Mercury? section of this website to learn more about the key science questions that the MESSENGER mission is addressing. During the one-year primary mission, MDIS acquired 88,746 images and extensive other data sets. MESSENGER is now in a year-long extended mission, during which plans call for the acquisition of more than 80,000 additional images to support MESSENGER's science goals.
For information regarding the use of images, see the MESSENGER image use policy.







